彰化一名60多歲女性,月前參加至親長輩喪禮,喪禮期間,她一直重複問同樣問題,家屬原本以為她是悲傷過度。但喪禮結束後,這名患者對喪禮期間的事情,完全沒有印象!到員榮醫院就醫,經MRI(核磁共振)檢查,發現患者大腦海馬迴的位置有中風的跡象,幸好只影響喪禮期間那2小時的短暫記憶,目前服藥以免再度中風。
員榮醫院神經內科陳彥秀醫師表示,患者就醫時外觀一切正常,沒有中風常見的偏癱、口齒不清或肢體不便等情況。家屬表示,先前參加長輩喪禮,因患者與這位長輩感情非常好,喪禮進行的兩個小時期間,患者不斷地問「我為什麼在這裡」、「 你要去哪裡?」、「你要做什麼?」,怪異的舉動令家人不安,喪禮結束後回到家,家人跟她提起喪禮期間發生的事情,患者完全沒有印象,喪禮結束後她精神狀況仍不佳,於是要她就醫檢查。

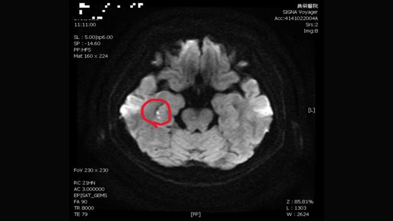
▲陳彥秀醫師表示,患者接受腦波檢查是正常;但核磁共振,看到她右側海馬迴出現一點亮亮的影像。(圖/員榮醫院提供)
陳彥秀醫師表示,患者接受腦波檢查是正常;但核磁共振,看到她右側海馬迴出現一點亮亮的影像。海馬迴與記憶功能密切相關,證實她「短暫性全面失憶」狀況,是因為情緒過於激動,中風所造成。
陳醫師指出,「短暫性全面失憶」最常見的原因,有情緒起伏過大、身體狀況異常,或是突然發生某些狀況所引起。這個疾病非常特別的地方在於,病人會不斷重複問問題,記不起來剛剛發生的事情,對人、事、時、地、物都很清楚,只是沒有辦法記住當下的事件,因此才會一直重複詢問。通常在幾個小時後,患者就會恢復。但患者完全忘記自己曾經反覆詢問那些問題,那一段記憶完全消失。
一樣都是腦中風,為何預後差異如此懸殊?陳醫師指出,關鍵與三大因素有關,包括出血型或缺血型中風、腦部受損範圍與位置(例如是否波及腦幹),以及發病後送醫的時間。其中,前兩項多屬難以人為控制的因素,唯有「就醫時間」是病人與家屬可以掌握的關鍵。
她強調,若能在發病後第一時間送醫,把握黃金治療時機,接受血栓溶解劑或血管取栓手術等急性治療,可望大幅降低肢體癱瘓與失能風險,對於後續復原與生活品質具有決定性影響。
【延伸閱讀】 主動脈剝離治療邁向微創新時代 東港安泰醫院助病患重生 影音/彰化秀傳復健科全新亮相 打造安全復健與健康生活新據點